Skip to main content

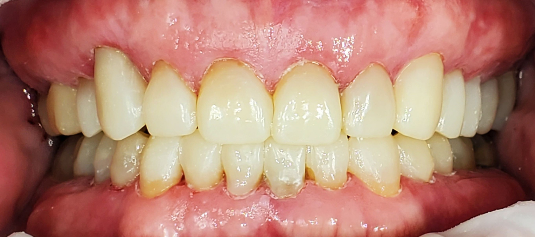
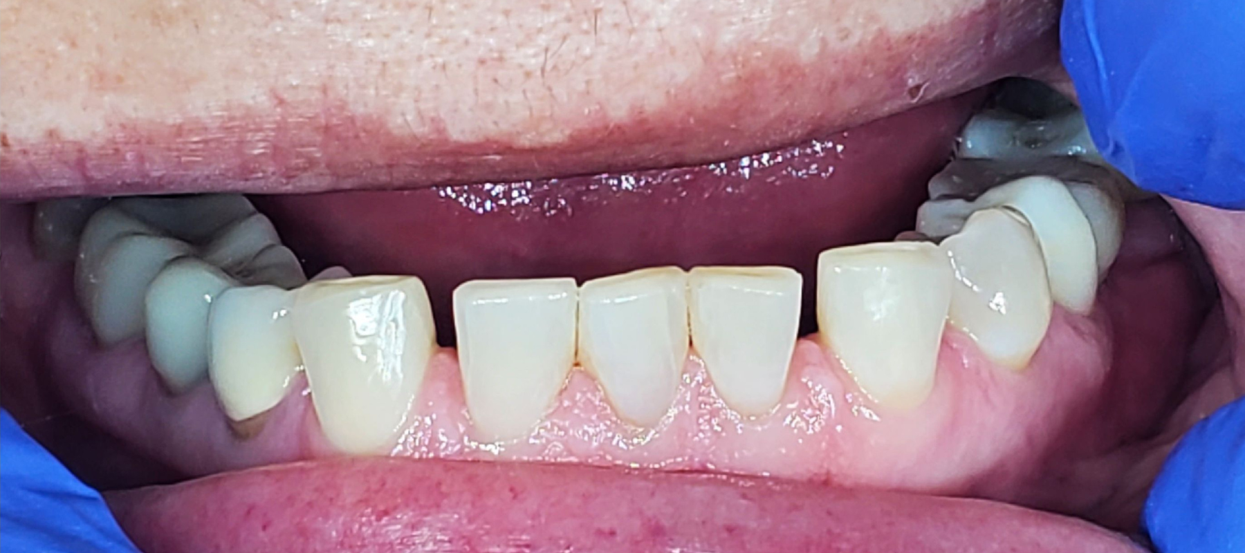
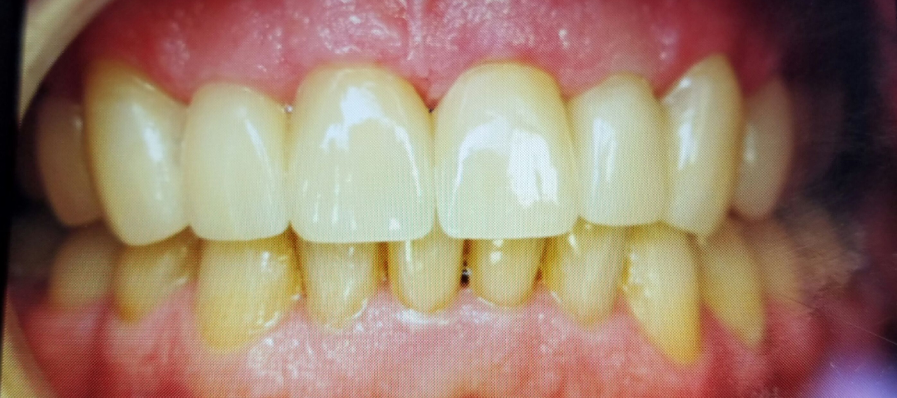
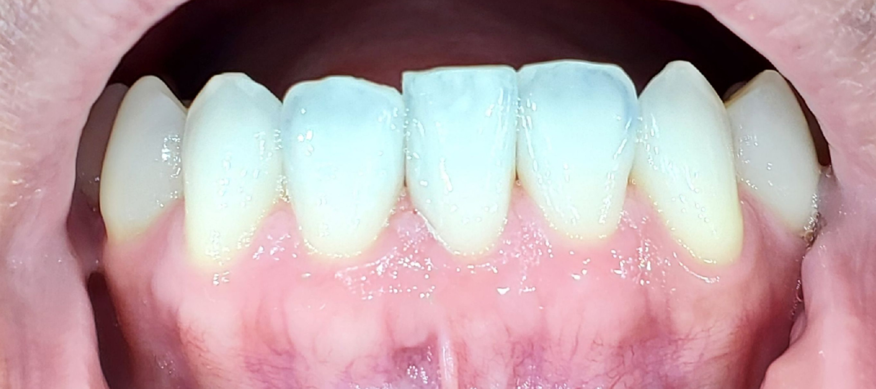
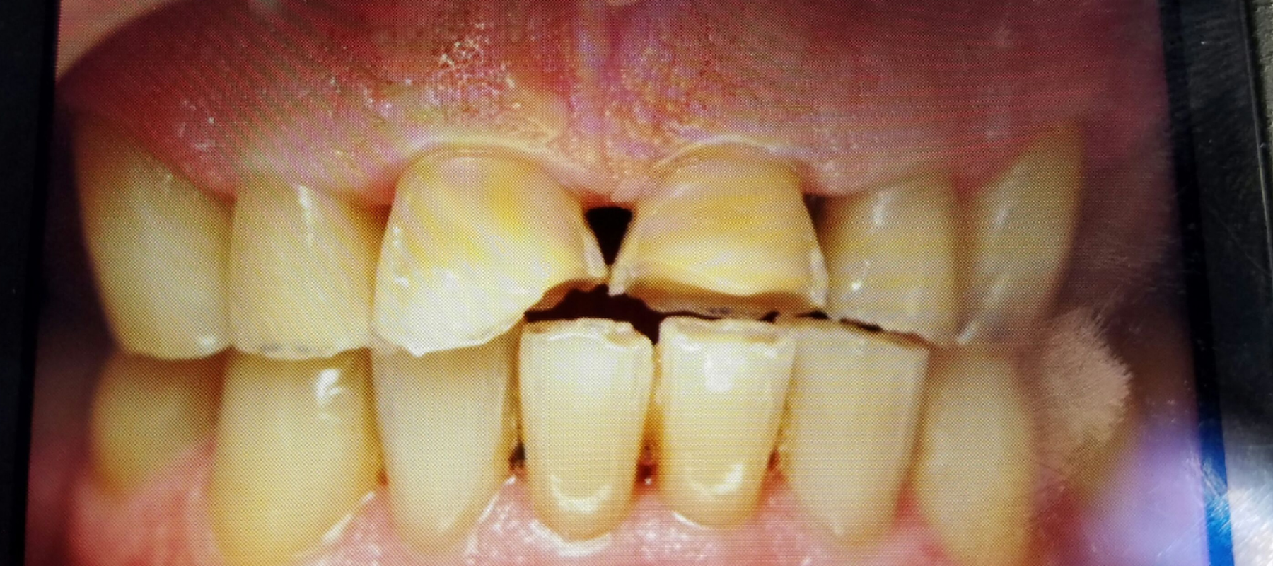
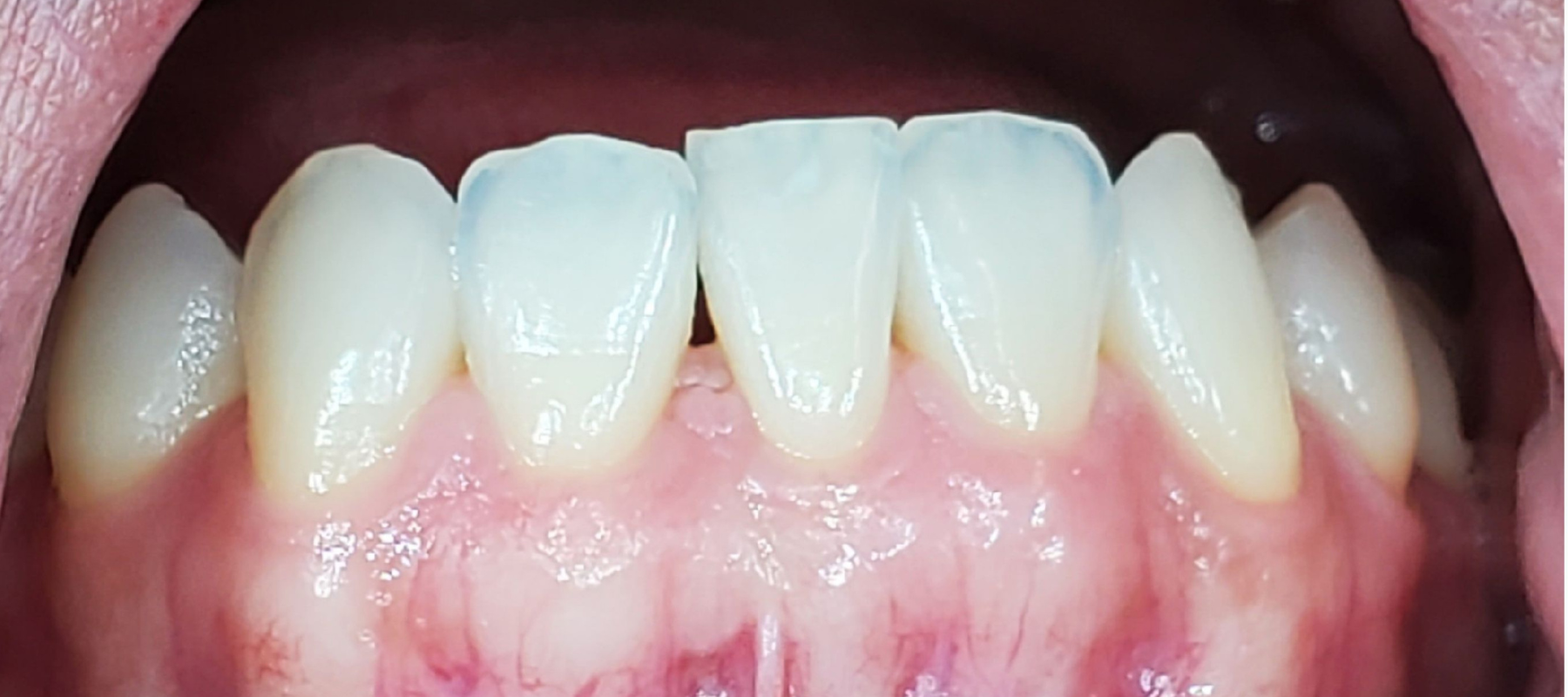
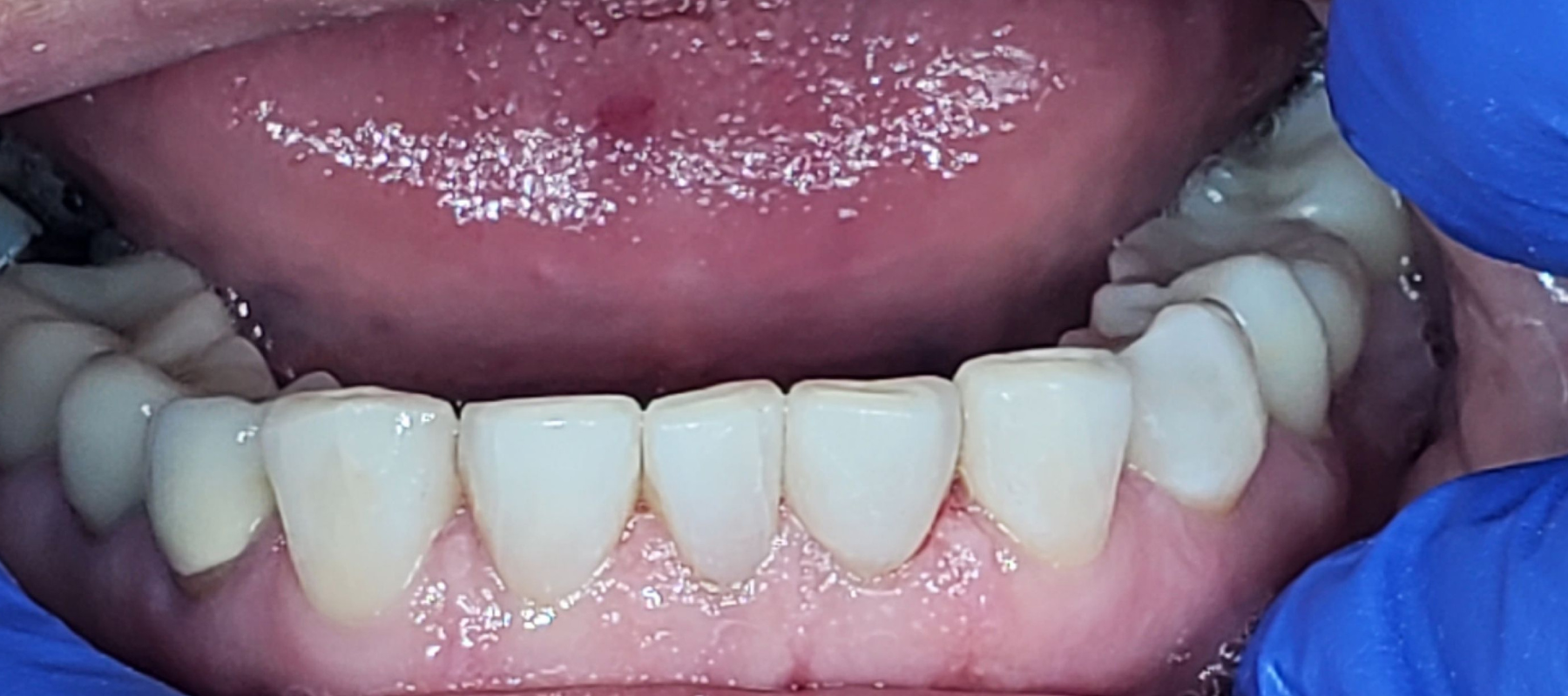
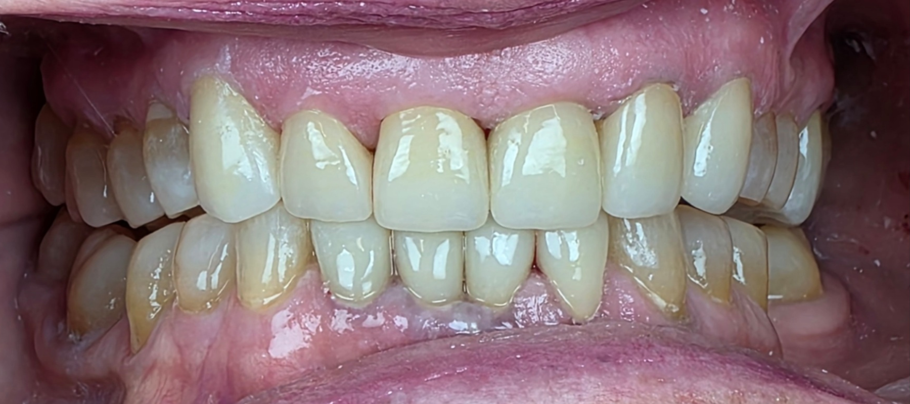
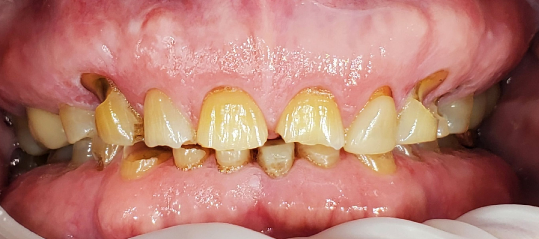
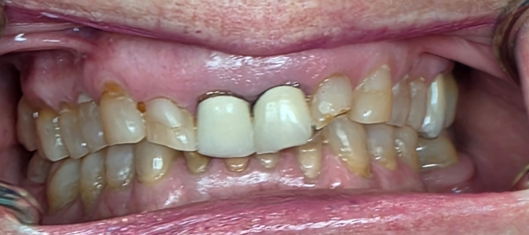
Smile Gallery

Before & After